A punção venosa pode ser difícil em alguns pacientes, principalmente nos pacientes crônicos que carregam uma longa jornada de tratamento. E por aqui não tem sido diferente, no meu segundo dia de internação, sentindo dores na região abdominal, lombar e cefaleia em nível 10, enfrentei 3 horas e meia de múltiplas tentativas de punção venosa sem sucesso. Sendo assim, a infectologista prescreveu um cateter venoso central de inserção periférica, mais conhecido como cateter de PICC. Foi o fim das picadas, pelo PICC pode ser realizado todo tipo de medicamento e coleta de sangue.
Resolvi gravar este vídeo, após ouvir o comentário da Ana Lúcia Paduello, que convive com esclerose sistêmica e traz lembranças traumáticas das punções venosas que já enfrentou durante sua jornada esclerodérmica. E, considerando que junho é o mês de conscientização da esclerodermia, dedico este relato à comunidade esclerodérmica do Brasil.
Sobre o Cateter de PICC
O cateter venoso central de inserção periférica, mais conhecido como cateter de PICC, é um tubo de silicone, flexível, fino e longo, entre 20 a 65 cm de comprimento, que é introduzido na veia do braço até chegar na veia do coração e serve para administração de medicamentos como antibióticos, quimioterapia e soro. A inserção do PICC é guiada por ultrassom e realizada por uma enfermeira especializada.
O PICC é um cateter de longa permanência, pode ser utilizado por até 6 meses e deve ter um controle rigoroso de assepsia na manipulação, como medida preventiva de infecções.
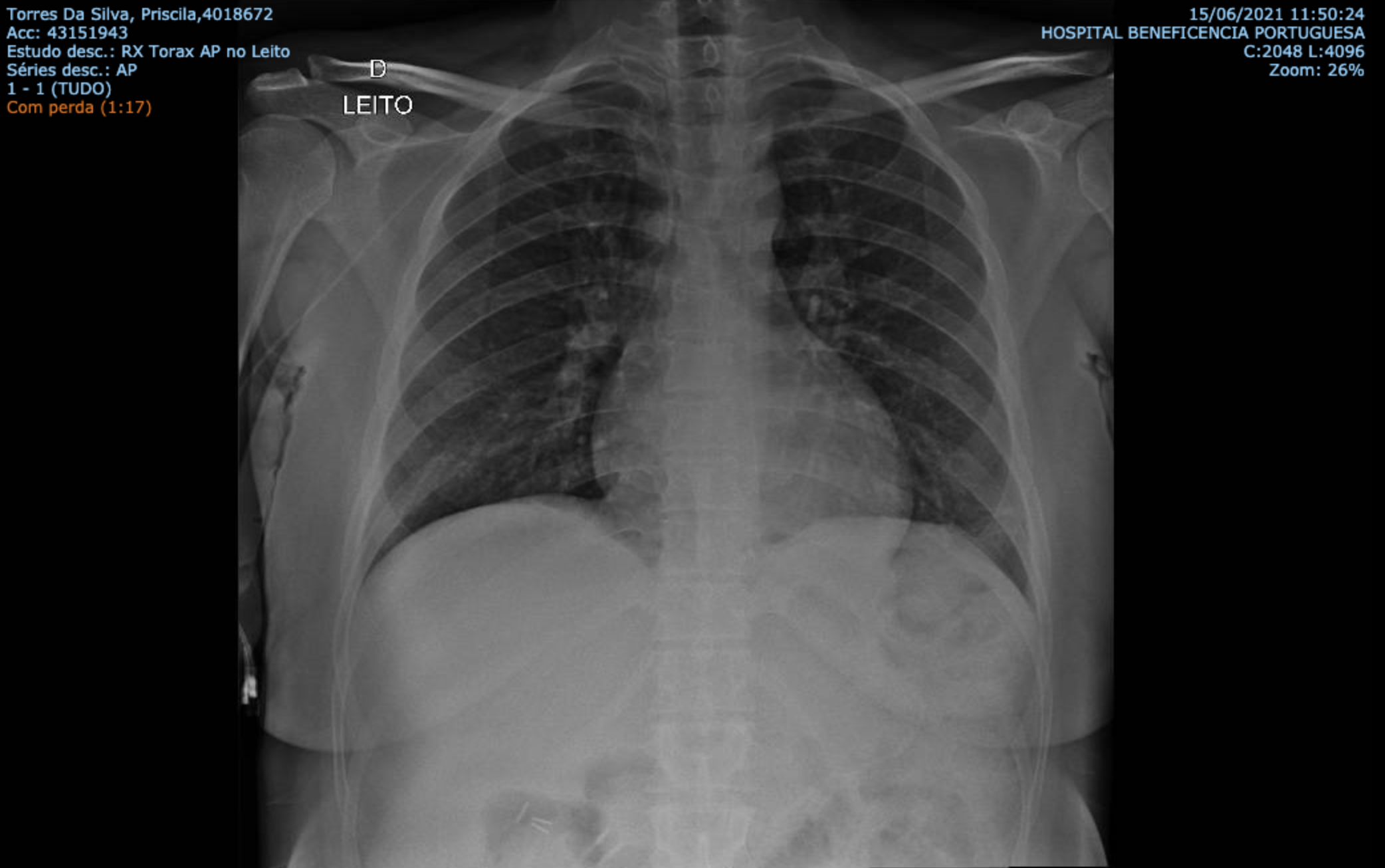
Após o término da inserção do cateter PICC é realizado uma radiografia de tórax para verificar o adequado posicionamento. Um cateter deste tipo, nunca deve ser utilizado antes de ser comprovado o seu posicionamento pela radiografia.

Descubra mais sobre Artrite Reumatóide
Assine para receber nossas notícias mais recentes por e-mail.































Obg por nós participar dessa informação eu sofri 22 dias na uti por pielonefrite e não suportava mais tantas dores e por motivo das veias entupir eles deixaram o soro aberto causando tep e embolia pulmonar quase fui a óbito
Puxa vida, Dorane!! estimo que esteja melhor!!